Millipore0.45um带正电荷尼龙膜INYC00010 30cm*3.3m

Millipore0.45um带正电荷尼龙膜INYC00010 30cm*3.3m
 

Northern 和 Southern Blotting,以及 Colony 和 Plaque Lifts

Millipore 提供了一种用于核酸应用转印膜选择。 使用带正电的 Immobilon-Ny+ 转印膜可以在 Southern blotting、Northern blotting 和 colony/plaque lifts 实验中获得出色的结果。 Immobilon-NC 转印膜,是主要的 Southern 和 colony/plaque 实验方案中zui初使用的膜,也可作为一种灵敏度较低但更经济的选择。

 

Millipore0.45um带正电荷尼龙膜INYC00010 30cm*3.3m说明: Immobilon-Ny+ 带正电尼龙卷膜,0.45 µm,30 cm x 3.3 m

商标名: Immobilon

数量/包装: 1

应用: Southern blotting、Northern blotting、菌落/噬菌转印、Dot/Slot blotting 和 DNA 分析

滤膜孔径,µm: 0.45

相容的染料: Non-applicable

可润湿性: 亲水

主要吸附机制: 离子,紫外线固定后为共价的

滤膜尺寸,cm x cm: 30 x 330

替代物: INCP 000 10(核酸应用)

滤膜代码: INYC

滤膜颜色: 白色

产品名称: Immobilon-Ny+ Transfer Membrane

滤膜表面: 光面
 

Immobilon-Ny+ 带正电尼龙转印膜

Immobilon-Ny+ 是一种带正电的尼龙转印膜,非常适合于可靠与可重现的转移、固定、杂交及随后的重复杂交实验。 其表面均一分布的正电荷密度确保得到zui高的灵敏度和zui低的背景信号。 此膜经强化处理具有超长的耐久性,这一点对于重复杂交试验至关重要。

可提供详细的实验方案,在使用 Immobilon-Ny+ 转印膜时可用于优化转印结果。

 

  • 灵敏度zui高,而背景信号zui小
     
  • 非常出色的重复杂交特性
     
  • 在化学发光法和放射性检测系统中均表现出色

 

性能

Southern Blotting

Millipore0.45um带正电荷尼龙膜INYC00010 30cm*3.3m

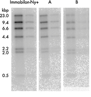
直接比较三种带正电尼龙膜在各自优化实验方案下的表现:每种膜在其推荐的紫外波长照射下交联。 Immobilon-Ny+ 转印膜的杂交信号是其它两种膜的 2 倍。

12 次重复杂交之后的信号强度

Millipore0.45um带正电荷尼龙膜INYC00010 30cm*3.3m

尼龙膜在 254 nm 交联,并进行了多次重复杂交,依次为:用 32P 标记探针做 2 次杂交,4 次模拟杂交,用 32P 标记探针做第 7 次杂交,然后进行 5 次模拟杂交以及用 32P 标记探针做第 13 次杂交。 在每个杂交周期之间,将膜置于 0.4M NaOH 溶液中,在 45°C 下洗提 30 分钟。 模拟杂交与真实杂交完全一样,区别在于未加 32P 标记探针。 在整个重复杂交过程中, Immobilon-Ny+ 的信号强度是竞争产品 A 和 B 的两倍。

检测灵敏度

Millipore0.45um带正电荷尼龙膜INYC00010 30cm*3.3m

将凝胶上 DNA 的量减少到 0.01 ng。 0.1 lane(条带)中的 2.2 和 2.0 kbp 带分别与 DNA 的 0.48 和 0.42 pg 相对应。 大约相当于 10 µg 人类基因组 DNA 中一个单拷贝基因序列。 可通过对探针浓度加倍来提高灵敏度。 在 0.01 ng 条带中,与竞争产品 A 相比,Immobilon-Ny+ 转印膜灵敏度稍高,而背景信号更低。

用化学发光检测进行 Northern Blotting

Millipore0.45um带正电荷尼龙膜INYC00010 30cm*3.3m

鼠肝的全部 RNA (1 µg) 在甲醛琼脂糖凝胶中电泳分离,然后通过毛细作用转印到 Immobilon-Ny+ 转印膜和竞争产品带正电尼龙膜 “A”。 与烘焙相比,通过紫外交联固定RNA 能增强信号。 Immobilon-Ny+ 转印膜比竞争产品 A 表现出更高的灵敏度。

Colony Lifts

Millipore0.45um带正电荷尼龙膜INYC00010 30cm*3.3m

将载有 pUC19 或 pLH2(2.0  kbp λ 噬菌体 DNA Hind III 片段克隆至 pUC19)的 JM109 混合细菌悬浮液置于琼脂培养皿中,在 37°C 下培养过夜。 将培养皿在 4°C 下冷却30 分钟,将菌落(直径大约 1–2 mm)转印至一片 82 mm 直径的 Immobilon-Ny+ 圆片膜上,或转印至竞争产品带正电的尼龙膜上。 膜上的 DNA 在254 nm, 60,000 µJoules/cm2 紫外光照射下  交联。 然后用 a 32P 标记的 DNA 探针对膜进行杂交,并使用磷屏成像系统显色。