上海金畔生物科技有限公司代理New England Biolabs(NEB)酶试剂全线产品,欢迎访问官网了解更多产品信息和订购。
产品资料 – 表观遗传学 – 表观遗传学
EpiMark® 5-hmC 和 5-mC 分析试剂盒 收藏
货 号
规 格
价 格(元)
北京库存
上海库存
广州库存
成都库存
苏州库存
#E3317S
20 次反应
3,019.00
无
无
无
无
无
Download:
- isoschizomers |
- compatible ends |
- single letter code
特性
定量分析基因座内的 5-hmC 和 5-mC,重复性好
简单明了的实验步骤
与现有 PCR 技术相兼容
可用于高通量用户

概述
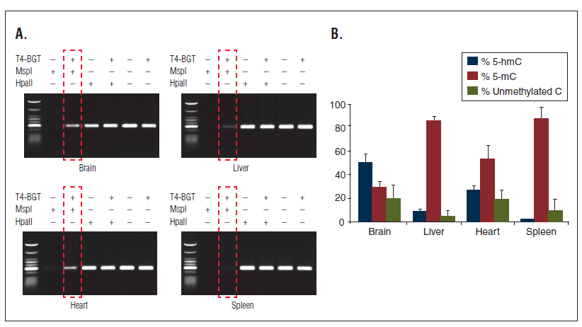
EpiMark 5-hmC 和 5-mC 分析试剂盒是一种简单快速试剂盒,能对特定 DNA 位点内的 5-羟甲基胞嘧啶(5-hmC)和 5-甲基胞嘧啶(5-mC)进行定性及定量。这种酶学方法包括三步简单操作,利用了同裂酶 MspI 和 HpaII 对甲基化敏感性的不同。
简述三步操作如下:基因组 DNA 用 T4 噬菌体β-葡糖基转移酶和 UDP-葡萄糖处理,将所有的 5-羟甲基胞嘧啶(5-hmC)糖基化;用限制性内切酶 MspI 和 HpaII 消化 DNA,这两个同裂酶有不同的甲基化敏感性;然后用终点或实时 PCR 来定性和定量不同的甲基化状态。EpiMa r k 试剂盒的设计目的是简化甲基化分析,增加发现新生物靶标的可能性。
EpiMark 5-hmC 和 5-mC 分析试剂盒包括
– T4 噬菌体 β-葡糖基转移酶
– UDP-葡萄糖
– MspI
– HpaII
– 蛋白酶 K
– 对照 DNA(未修饰的 5-羟甲基胞嘧啶和 5-甲基胞嘧啶)
– 正反向对照引物混合物
– NEBuffer 4

用 EpiMark 5-hmC 和 5-mC 分析试剂盒分析 Balb/C 小鼠组织样品(基因座 12)不同的甲基化状态。A)用于甲基化分析的 6 个不同反应的终点 PCR。虚线框中的泳道显示了 5-羟甲基胞嘧啶的存在。B)实时 PCR 数据用于确定 5-羟甲基胞嘧啶和 5-甲基胞嘧啶的数量。结果显示了所选组织中 5-羟甲基胞嘧啶水平的变化。
参考文献
有关该产品性质和应用的参考文献请登陆 www.neb-china.com,www.neb.com。