抗大鼠LC3,兔
Anti Rat LC3, Rabbit
- 产品特性
- 相关资料
- Q&A
- 参考文献
抗大鼠LC3,兔
Anti Rat LC3, Rabbit
|
自噬相关因子LC3抗体 |
||||||||
|
产品编号 |
产品名称【中文名称】 |
规格 |
包装 |
|||||
|
010-22841 |
Anti Rat LC3, Rabbit 【抗大鼠LC3,兔】 |
免疫化学用 |
50μL |
|||||
|
抗体信息 |
||||||||
|
抗原名 |
LC3 |
适用实验 |
WB、免疫细胞染色 |
同种型 |
IgG |
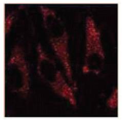
免疫染色图像 (Hela细胞)
数据提供: 顺天堂大学医学研究科 吉川美加 |
||
|
抗原信息 |
KLH结合LC3的5-18氨基酸序列肽 |
物种交叉反应性 |
人,大鼠,小鼠 |
标签 |
非标签 |
|||
|
抗原别名 |
LC3B, MAP1LC3B, ATG8F, MAP1ALC3B |
免疫动物 |
兔 |
克隆号 |
– (多克隆抗体) |
|||
|
详细信息 |
LC3是芽殖酵母自噬必需因子Atg8的哺乳类同系物。LC3在细胞质中合成后迅速被切除C末端形成LC3-Ⅰ。并且通过E1样酶(Atg7)、E2样酶(Atg3),和磷脂质结合形成LC3-Ⅱ。LC3-Ⅱ可与自噬体膜结合,因此LC3-Ⅱ作为自噬标记物使用。另一方面有报道称,在以帕金森氏症为首的神经变性疾病中存在自噬因子功能障碍。 本产品是识别LC3-Ⅰ、LC3-Ⅱ兔源多克隆抗体。 |
|||||||
|
使用文献 |
— |
|||||||
| 产品编号 | 产品名称 | 产品规格 | 产品等级 | 产品价格 |
| 010-22841 | Anti Rat LC3, Rabbit 抗大鼠LC3,兔 |
50μL | 免疫化学用 |
