磷酸化α- 突触核蛋白抗体(pSyn#64)
- 产品特性
- 相关资料
- Q&A
- 参考文献
磷酸化α- 突触核蛋白抗体(pSyn#64)
在帕金森病和路易小体痴呆(DLB)等神经系统变性病患者的神经细胞中发现的路易小体,含有丝氨酸129 位残基被特异性磷酸化的α-突触核蛋白。磷酸化α- 突触核蛋白抗体(pSyn#64)(Code No.:015-25191)和正常的α- 突触核蛋白不发生反应,只识别聚集的磷酸化α- 突触核蛋白。另可提供生物素标记的抗体(010-26481)。
◆基本信息
溶液:含有血清的培养基上清、0.05% Sodium Azide
克隆号:pSyn#64
亚型:Mouse IgG
抗原:丝氨酸126 被磷酸化的人α- 突触核蛋白的124-134 残基
保存条件:-20℃
特异性:人,大鼠,小鼠
稀释倍数:免疫组织染色(1:1,000 ~ 10,000)Western blot (1:1,000 ~ 10,000)
◆特点
● 已标记,无需二抗
● 低背景
● 免疫染色应用
◆使用案例(免疫染色)
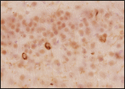
磷酸化α- 突触核蛋白单抗(pSyn#64)
![]() |
使用本产品进行的路易小体痴呆的脑切片免疫组织染色。病变部位的路易小体被特异性染色。 |
磷酸化α- 突触核蛋白单抗(pSyn#64),生物素结合
![]() |
磷酸化α- 突触核蛋白单抗(pSyn#64)生物素结合 |
![]() |
磷酸化α- 突触核蛋白单抗(pSyn#64)(Code No.:015-25191)+生物素标记2抗 |
|
→与使用2抗相比,背景更低,染色更清晰。 ■ 实验条件 |
|
◆特性
|
磷酸化α-突触蛋白单抗(pSyn#64), |
|
|
标记物 |
生物素 |
|
抗原 |
合成肽(S129磷酸化的人α-突出核蛋白的124-134序列) |
|
缓冲液 |
PBS, 含0.05% 叠氮化钠 |
|
类别 |
小鼠IgG |
|
物种交叉反应性 |
小鼠、大鼠、人 |
|
应用 |
免疫组织染色 (1:200-5,000) |
数据来源:东京大学大学院医学系研究课 桑原先生、岩坪先生。
◆产品列表
| 产品编号 | 产品名称 | 规格 | 包装 |
| 015-25191 | Anti Phosphorylated α-Synuclein, Monoclonal Antibody (pSyn#64) 抗磷酸化α-突触核蛋白单克隆抗体 (pSyn#64) |
免疫化学用 | 50 μL |
| 010-26481 | Anti Phosphorylated α-Synuclein, Monoclonal Antibody(pSyn#64), Biotin-conjugated 磷酸化α-突触核蛋白单克隆抗体(pSyn#64),生物素 |
免疫化学用 | 50 μL |
◆相关产品
| 产品编号 | 产品名称 | 规格 | 包装 |
| 190-17941 | α-Synuclein, Human, recombinant α-突触核蛋白,人,重组体 |
细胞生物学用 | 0.5 mg |
| 197-17951 | β-Synuclein, Human, recombinant β-突触核蛋白,人,重组体 |
细胞生物学用 | 0.5 mg |
| 194-17961 | γ-Synuclein, Human, recombinant γ-突触核蛋白,人,重组体 |
细胞生物学用 | 0.5 mg |
| 019-19741 | Anti Iba1, Rabbit (for Immunocytochemistry) 小胶质细胞/巨噬细胞特异性蛋白抗体(免疫组化) |
免疫化学用 | 50 μg |
| 016-20001 | Anti Iba1,Rabbit (for Western Blotting) 小胶质细胞/巨噬细胞特异性蛋白抗体(免疫印迹) |
免疫化学用 | 50 μg |
| 016-26461 | Anti Iba1, Rabbit, Biotin-conjugated 小胶质细胞/巨噬细胞特异性蛋白抗体(结合生物素) |
免疫化学用 | 100 μL |
| 013-26471 | Anti Iba1, Rabbit, Red Fluorochrome(635)-conjugated 小胶质细胞/巨噬细胞特异性蛋白抗体(结合红色荧光素635) |
免疫化学用 | 100 μL |

pSyn64-1611WACU01.pdf
|
产品编号 |
品名 |
应用/级别 |
规格 |
描述 |
|
015-25191 |
磷酸化α- 突触核蛋白 抗体 (pSyn#64) |
免疫化学用 |
50 μl |
– |
|
017-15881 |
ABC 溶液 |
免疫组织染色用 |
10 ml |
本产品不需要ABC 的配制,经稳定化处理,可短时间内进行免疫组织染色。并且使用来源于微生物的链霉抗生物素蛋白,可有效抑制非特异性反应。 |
|
161-20141 |
4% Paraformaldehyde Phosphate Buffer Solution 4%多聚甲醛磷酸盐缓冲液 |
组织固定用 |
100 ml |
酵素组织化学、免疫组织化学用,并且可以作为电子显微镜检测用固定液使用。在进行免疫染色时,用于蛋白质抗原的固定。 |
|
163-20145 |
500 ml |
|||
|
066-00461 |
Formic Acid 甲酸 |
特级 |
100 ml |
作为制作显微镜切片脱钙剂使用。作为1 ~ 10% 或50% 的乙醇溶液或3 ~ 5% 左右的水溶液使用。 |
|
143-06561 |
山羊血清 |
免疫化学用 |
10 ml |
用于组织染色的封闭。使用浓度:10% 山羊血清 溶于PBS/TBS 中。 |
|
049-22831 |
DAB 片 |
生化学用 |
50 块 |
作为免疫组织染色时的HRP 显色基质使用。本产品把具有致癌性和不易操作的DAB・4HCl 制成片剂,只需要放入水中便可使用。 |
|
045-22833 |
100 块 |
|||
|
136-16381 |
1-Methyl-4-phenyl-1,2,3,6-tetrahydropyridine Hydrochloride |
细胞生物学用 |
10 mg |
细胞生物学用 |
|
132-16981 |
Memantine Hydrochloride |
细胞生物学用 |
25 mg |
谷氨酸受体拮抗剂,可以阻断谷氨酸浓度病理性升高。 |
|
138-16983 |
100 mg |
|||
|
028-14511 |
Benserazide Hydrochloride
盐酸苄丝肼 |
生化学用 |
1 g |
多巴脱羧酶抑制剂 |
|
024-14513 |
5 g |
|||
|
022-14771 |
Biperiden Hydrochloride 盐酸安克痉 |
生化学用 |
500 mg |
有中枢抗胆碱作用。 |
|
028-14773 |
5 g |
[1] Fujiwara, H., Hasegawa, M., Dohmae, N., Kawashima, A.,Masliah, E., Goldberg, S. M., Shen, J., Takio,
K. and Iwatsubo,T. : Nature Cell Biology, 4, 160, (2002)
[2] Saito, Y., Kawashima, A., Ruberu, N. N., Fujiwara, H.,Koyama, S. , Sawabe, M. , Arai , T. , Nagura, H.,
Yamanouchi, H., Hasegawa, M., Iwatsubo, T. and Murayama,S. : Journal of Neuropathology and
Experimental Neurology,62, 644 (2003)


