Wako亲和标签(汇总)
- 产品特性
- 相关资料
- Q&A
- 参考文献

Wako亲和标签(汇总)
重组蛋白质提纯/检测用试剂

● TARGET标签
● PA标签
● 亲和标签系统
● DYKDDDDK标签
● 6×His标签
● GFP标签
● HA标签
● MBP标签
● c-Myc标签
● GST标签
● V5标签
● 亲和标签抗体磁珠结合
● 亲和标签抗体琼脂糖珠结合
● 亲和标签肽
● 对照融合蛋白系列
● 亲和标签对比表
● 相关产品

◆TARGET 标签系统 标签序列【(YPGQ)5V】
● 通过树脂再生,降低运作成本
● 温和洗脱、清洗,实现高纯度
● 在动物细胞表达系(HEK293T细胞、CHO细胞等)中有效纯化蛋白质
TARGER 标签系统使用的是可识别肽标签(21氨基酸残基)的单抗(P20.1),是日本开发的亲和纯化标签系统。
TARGET 标签系统实践证明,即使在传统系统都难以进行高纯度蛋白质纯化的动物细胞表达系中,也可有效的进行亲和纯化。
TARGET标签系统
A rapid screening method for cell lines producing singly-tagged recombinant proteins using the“ TARGET tag” system. Tabata S. et al., J. Proteomics, 2010 Aug 5;73(9):1777-85.
TARGET 标签表达载体案例

产品选择
|
载体 |
表达模式 |
宿主细胞 |
MCS启动子 |
|
pEBMulti |
游离型稳定表达 |
灵长类(人、猴)、狗细胞等粘着系细胞 |
CAG |
|
pCAG |
瞬时表达 |
灵长类(人、猴)、狗细胞等粘着系细胞、大/小鼠等动物细胞 |
CAG |
测序用引物序列、其他载体序列的相关详细信息,已附在产品现货说明书中。
另外可点击和光主页/TARGET标签,查看序列信息、Multi Cloning Site(MCS)信息。
|
TARGET标签融合蛋白质的免疫沉淀
|
通过Transient 载体,表达TARGET标签融合重组蛋白
|
|
培养上清(培养第7天) 每10mL中,分别添加0.1mL(net 0.05mL)的抗体珠(①抗TARGET标签抗体珠、②抗DYKDDDDK标签抗体珠,其他公司产品),4℃条件下,进行2小时免疫沉淀。 清洗后,在回收的各珠中分别添加0.5mL 0.2 mg/mL TARGET标签肽/TBS和0.2mg/mL DYKDDDDK肽/TBS,4℃条件下,平稳震动0.5小时。离心后回收上清。 再分别在各珠中添加0.5mL 0.1M Glycine-HCl (pH2.7),室温下,平稳震动5分钟。离心后,回收上清并用1M Tris-HCl (pH9.0)做中和处理 上图为SDS-PAGE处理后的银染色结果。 与传统DYKDDDDK tag相比,背景更低 →高纯度! |
M:M.W. Marker 1.仅转染载体的培养上清 2.转染了蛋白Y-TARGET 标签表达质粒的细胞培养上清 3.转染了TARGET标签-蛋白Y 表达质粒的细胞培养上清 也可使用市售的Transient载体 |
|
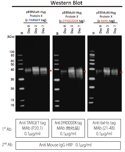
通过Episomal 载体确认TARGET tag C末端融合重组蛋白的表达 |
|
|
利用可编码表达人源生理活性蛋白基因的质粒转染HEK293N细胞后,从初期细胞数3×10^5cells/mL开始培养,回收0/3/7日的培养上清。 用20μL/lane的培养上清进行SDS-PAGE处理,通过银染色和Western blotting,检测出表达蛋白。 |
|
|
可确认到与市面售卖的Tag系统有相同的表达量和检测灵敏度。 |
|
TARGET 标签系列
|
产品名称 |
子类 |
适用 实验 |
规格 |
产品编号 |
包装 |
|
|
单抗 |
||||||
|
抗TARGET标签, 单抗 Anti TARGET tag, Monoclonal Antibody |
小鼠IgG1 |
IP, WB |
免疫化学用 |
016-25481 |
200μg |
|
|
012-25483 |
1mg |
|||||
|
HRP标签单抗 |
||||||
|
抗TARGET tag, 单抗, 过氧化酶结合 Anti TARGET tag, Monoclonal Antibody (P20.1)Peroxidase conjugated |
小鼠IgG1 |
WB |
免疫化学用 |
015-25571 |
200μL |
|
|
011-25573 |
1mL |
|||||
|
产品名称 |
子类克隆号 |
规格 |
产品编号 |
包装 |
|||||
|
抗体结合琼脂糖珠 |
|||||||||
|
抗TARGET标签抗体珠 Anti TARGET tag Antibody Deads |
小鼠IgG1 |
免疫化学用 |
018-25561 |
2mL (Net 1mL) |
|||||
|
014-25563 |
10mL (Net 5mL) |
||||||||
|
012-25564 |
50mL (Net 25mL) |
||||||||
|
识别N末端、C末端的TARGET标签 使用载体 :4% 琼脂糖 |
|||||||||
|
产品名称 |
备注 |
规格 |
产品编号 |
包装 |
|
肽 |
||||
|
TARGET标签肽 TARGET tag Peptide |
含量(HPLC)95%以上 |
基因研究用 |
200-19673 |
5mg |
|
208-19674 |
25mg |
|||
|
清洗液 |
||||
|
TARGET标签清洗液 TARGET tag Washing Solution |
已过滤消毒 |
基因研究用 |
208-19831 |
50mL |
|
产品名称 |
可选Marker |
产品编号 |
包装 |
||
|
大肠杆菌 |
动物细胞 |
||||
|
瞬态载体 |
|||||
|
C端插入TARGET标签的pCAG-Ble 载体 pCAG-Ble TARGET tag-C |
博莱霉素 |
165-26381 |
20μg |
||
|
N端插入TARGET标签的pCAG-Ble 载体 pCAG-Ble TARGET tag-N |
博莱霉素 |
162-26391 |
20μg |
||
|
C端插入TARGET标签的pCAG-Bsd 载体 pCAG-Bsd TARGET tag-C |
杀稻瘟素S |
165-26401 |
20μg |
||
|
N端插入TARGET标签的pCAG-Bsd 载体 pCAG-Bsd TARGET tag-N |
杀稻瘟素S |
162-26411 |
20μg |
||
|
C端插入TARGET标签的pCAG-Hyg 载体 pCAG-Hyg TARGET tag-C |
潮霉素B |
169-26421 |
20μg |
||
|
N端插入TARGET标签的pCAG-Hyg 载体 pCAG-Hyg TARGET tag-N |
潮霉素B |
166-26431 |
20μg |
||
|
C端插入TARGET标签的pCAG-Neo 载体 pCAG-Neo TARGET tag-C |
卡那霉素 |
G418 |
163-26441 |
20μg |
|
|
N端插入TARGET标签的pCAG-Neo 载体 pCAG-Neo TARGET tag-N |
卡那霉素 |
G418 |
160-26451 |
20μg |
|
|
游离载体 |
|||||
|
C段插入TARGET标签的pEBMulti-Ble载体 pEBMulti-Ble TARGET tag-C |
博来霉素 |
167-26461 |
20μg |
||
|
N段插入TARGET标签的pEBMulti-Ble载体 pEBMulti-Ble TARGET tag-N |
博来霉素 |
164-26471 |
20μg |
||
|
C段插入TARGET标签的pEBMulti-Bsd载体 pEBMulti-Bsd TARGET tag-C |
杀稻瘟素S |
161-26481 |
20μg |
||
|
N段插入TARGET标签的pEBMultI-Bsd载体 pEBMulti-Bsd TARGET tag-N |
杀稻瘟素S |
168-26491 |
20μg |
||
|
C段插入TARGET标签的pEBMulti-Hyg载体 pEBMulti-Hyg TARGET tag-C |
潮霉素B |
161-26501 |
20μg |
||
|
N段插入TARGET标签的pEBMulti-Hyg载体 pEBMulti-Hyg TARGET tag-N |
潮霉素B |
168-26511 |
20μg |
||
|
C段插入TARGET标签的pEBMulti-Neo载体 pEBMulti-Neo TARGET tag-C |
卡那霉素 |
G418 |
165-26521 |
20μg |
|
|
N段插入TARGET标签的pEBMulti-Neo载体 pEBMulti-Neo TARGET tag-N |
卡那霉素 |
G418 |
162-26531 |
20μg |
|
|
C段插入TARGET标签的pEBMulti-Puro载体 pEBMulti-Puro TARGET tag-C |
氨苄青霉素 |
嘌呤霉素 |
169-26541 |
20μg |
|
|
N段插入TARGET标签的pEBMulti-Puro载体 pEBMulti-Puro TARGET tag-N |
氨苄青霉素 |
嘌呤霉素 |
166-26551 |
20μg |
|
◆PA标签系统 标签序列【GVAMPGAEDDVV】
● 通过树脂再生,降低运行成本
● 超高亲和性抗体,实现高回收率、高纯度纯化
● 在动物细胞表达系(HEK293T细胞、CHO细胞等)中,有效纯化蛋白质
● PA标签系统是使用可识别肽标签(12氨基酸残基)的单抗(NZ-1)。日本开发的亲和性纯化标签系统。
● NZ-1单抗对PA tag具有高亲和性和特异性,可应用于Western Blotting、细胞流式仪、免疫组化( ICC)。通过免疫沉淀,可纯化PA标签融合蛋白以及树脂再生。
● PA标签系统,可一步纯化高纯度PA标签融合蛋白。
PA标签系统
Fujii, Y. et al., "PA tag: A versatile protein tagging system using a super high affi nity antibody against a dodecapeptide derived from human podoplanin.", Protein Exp. Purif., 95, 240-247(2014).
Fujii, Y. et al.
新型亲和标签系统“PA tag”的应用方法~蛋白质的纯化及检测~
蛋白质科学学会档案, 7, e075 (2014)
PA标签表达载体案例

|
载体 |
表达模式 |
宿主细胞 |
MCS启动子 |
|
pCAG |
瞬时表达 |
灵长类(人、猴)、犬细胞等粘着细胞 |
CAG |
测序用引物序列、其他载体序列的相关详细信息,已附在产品现货说明书中。
用PA标签从培养上清中亲和提纯的案例

数据提供:大阪大学 蛋白质研究所附属蛋白质分析先进研究中心
分子创制学研究室 高木淳一老师,藤井勇树老师
Protocol 目的蛋白的纯化
1.哺乳类动物细胞转染(HEK293T)
转染处于40-60%融合状态的细胞
培养基:D-MEM, 5%FBS
2.回收培养上清和吸附蛋白树脂
转染48-72小时后,回收约420mL培养上清,加入8mL抗PA标签抗体珠,混合2小时(2-10℃)
3.树脂回收
用50mL的纯化柱。回收步骤2)中的珠
4.树脂洗涤
加入珠4倍量的TBS 缓冲液(20mM Tris-HCl, 150mM NaCl),清洗5次
5.PA标签肽从树脂中竞争性洗脱
加入经1×TBS溶液, pH7.5溶解过的PA 标签肽(最终浓度0.1mg/mL),体积量需为珠的一倍,
然后分10次回收PA标签融合蛋白X
6.SDS-PAGE
样品量
c. sup:5μL, flow through:5μL, wash:5μL,
肽洗脱(1-10):各10μL
可纯化PA标签融合蛋白X且不依赖PA标签。→可实现极高纯度的亲和纯化。
通过PA tag降低背景的方法
|
|
M: Marker |
在20mL的昆虫细胞溶解液中加入蛋白Z,使其浓度变为1.0mg/L后,添加200μL抗PA标签抗体珠,4℃温度条件下,搅拌3小时。
分别用不同浓度的TBS溶液(0.15M、0.5M、1.0M NaCl)进行调整,用珠50倍量清洗。在回收的各珠中加入0.5mL 0.1M Glycine-HCl(pH2.7),室温条件下平稳震动5min。
离心后回收上清,用1M Tris-HCl (pH9.0)做中和处理。
SDS-PAGE后进行银染色,去除污染蛋白之后,比较不同浓度的结果。
使用案例:Western Blotting
|
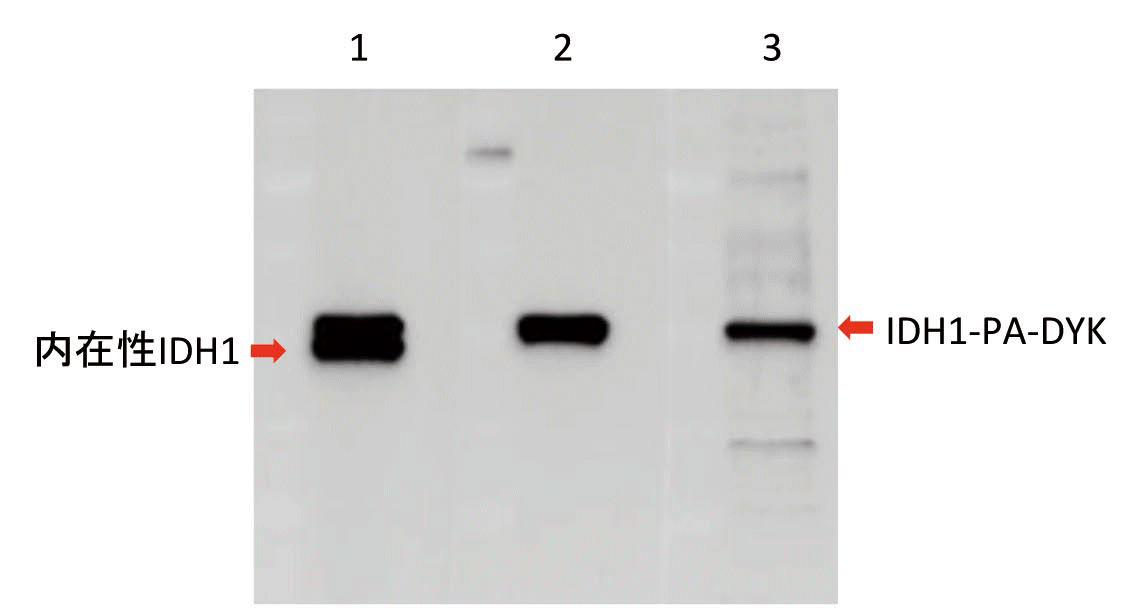
地域革新领域 加藤 幸成老师,金子 美华老师 NZ-1显示出与天然抗体具有相同的高检测灵敏度。 |
Lane 1 一抗:抗IDH1抗体(RcMab-1), 1μg/mL 二抗:抗大鼠IgG-HRP标签, 1000倍稀释 一抗:抗PA tag抗体, 1μg/mL 二抗:抗大鼠IgG-HRP标签, 1000倍稀释 一抗:抗DYKDDDDK标签抗体, 3.5μg/mL 二次抗体:抗マウスIgG-HRP标签, 1000倍稀释 |
PA标签系列
|
产品名称 |
子类克隆号 |
适用实验 |
规格 |
产品编号 |
包装 |
|
单抗 |
|||||
|
抗PA标签, 大鼠单抗 Anti PA tag, Rat Monoclonal Antibody |
大鼠IgG2a |
IP, WB, FCM, ICC |
免疫化学用 |
016-25861 |
200μL |
|
012-25863 |
1mL |
||||
|
HRP标签单抗 |
|||||
|
抗PA标签, 大鼠单抗,过氧化酶结合 Anti PA tag, Rat Monoclonal Antibody, Peroxidase Conjugated |
大鼠IgG2a |
WB |
免疫化学用 |
015-25951 |
200μL |
|
011-25953 |
1mL |
||||
|
产品名称 |
子类克隆号 |
规格 |
产品编号 |
包装 |
|
|
抗体结合琼脂糖珠 |
|||||
|
抗PA标签抗体珠 Anti PA tag Antibody Beads |
大鼠IgG2a |
免疫化学用 |
012-25841 |
2mL(Net 1mL) |
|
|
018-25843 |
10mL(Net 5mL) |
||||
|
016-25844 |
50mL(Net 25mL) |
||||
|
识别N末端、C末端的PA标签 |
|||||
|
抗体结合磁珠 |
|||||
|
MagCaptureTM HP 抗PA标签抗体磁珠 MagCapture™ HP Anti PA tag Antibody Magnetic Beads |
大鼠IgG2a |
免疫化学用 |
137-18751 |
2mL |
|
|
溶液组成:1×TBS(pH 7.4), 50% glycerol, 0.05w/v% sodium azide |
|||||
|
产品名称 |
备注 |
规格 |
产品编号 |
包装 |
|
肽 |
||||
|
PA标签肽 PA tag Peptide |
含量(HPLC)95%以上 |
基因研究用 |
167-25501 |
5mg |
|
163-25503 |
25mg |
|||
|
清洗溶液 |
||||
|
PA标签清洗溶液 PA tag Washing Solution |
已过滤消毒 |
基因研究用 |
169-27261 |
50mL |
|
产品名称 |
可选Marker |
产品编号 |
包装 |
|
|
大肠杆菌 |
动物细胞 |
|||
|
瞬时载体 |
||||
|
pCAG-Ble PA 标签-C pCAG-Ble PA tag-C |
Bleomycin |
161-26861 |
20μg |
|
|
pCAG-Ble PA 标签-N 信号 增加型 pCAG-Ble PA tag-N Signal Plus |
Bleomycin |
168-26871 |
20μg |
|
|
pCAG-Bsd PA 标签-C pCAG-Bsd PA tag-C |
Blasticidin S |
165-26881 |
20μg |
|
|
pCAG-Bsd PA 标签-N 信号 增加型 pCAG-Bsd PA tag-N Signal Plus |
Blasticidin S |
162-26891 |
20μg |
|
|
pCAG-Neo PA 标签-C pCAG-Hyg PA tag-C |
Hygromycin B |
165-26901 |
20μg |
|
|
pCAG-Hyg PA 标签-N 信号 增加型 pCAG-Hyg PA tag-N Signal Plus |
Hygromycin B |
162-26911 |
20μg |
|
|
pCAG-Neo PA 标签-C pCAG-Neo PA tag-C |
Kanamycin |
G418 |
169-26921 |
20μg |
|
pCAG-Neo PA 标签-N 信号 增加型 pCAG-Neo PA tag-N Signal Plus |
Kanamycin |
G418 |
166-26931 |
20μg |
◆亲和标签抗体系列
和光为您准备了DYKDDDDK, 6×His, GFP, HA, MBP, c-Myc, GST,V5融合蛋白质提纯、检测用抗体及珠。
另外,和光还准备了上述各样品的试用装,您可向当地代理商索取。
DYK标签:DYKDDDDK
DYK标签是识别DYKDDDDK肽的单抗。可用于检测大肠杆菌、酵母、哺乳动物中的DYKDDDDK标签融合蛋白质。
|
|
将表达3×DYKDDDDK标签融合蛋白质A的质粒转染至HEK293细胞株中,经过24小时培养后,随机选取其中的克隆细胞。将选取的克隆细胞用RIPA缓冲液进行溶解,对所得的细胞溶解液用Western Blot法检测,可检测出3×FLAG标签融合蛋白质。 分别用Wako(克隆号 1E6)(产品编号:018-22381)抗体和A公司抗体进行Western Blot检测。 与A公司抗体相比,Wako(克隆号 1E6)抗体识别DYKDDDDK的特异性更高。 |
A公司产品和Wako产品在Western Blot检测中的灵敏度比较
|
|
Lane 1: 293T细胞溶解液 抗体反应:2小时、室温 Wako 1E6-HRP比A公司产品有更高的灵敏度!! |
|
产品名称 |
子类克隆号 |
适用实验 |
规格 |
产品编号 |
包装 |
|
单抗 |
|||||
|
抗DYKDDDDK标签, 单抗 Anti DYKDDDDK tag, Monoclonal Antibody |
小鼠IgG2b |
WB,IP,FCM,ChIP |
免疫化学用 |
018-22381 |
200μg |
|
014-22383 |
1mg |
||||
|
012-22384 |
5mg |
||||
|
抗DYKDDDDK标签, 单抗 Anti DYKDDDDK tag,Monoclonal Antibody,Rat |
大鼠IgG1 |
WB,IP,ELISA,IHC,FCM |
免疫化学用 |
018-23621 |
200μg |
|
012-23624 |
1mg |
||||
|
HRP标签单抗 |
|||||
|
抗DYKDDDDK标签, 单抗, Anti DYKDDDDK tag, Monoclonal Antibody, Peroxidase Conjugated |
小鼠IgG2b |
WB |
免疫化学用 |
015-22391 |
200μL |
|
019-22394 |
1mL |
||||
6×His标签:HHHHHH (6×组氨酸)
可用于检测His(6×组氨酸)标签融合蛋白质。克隆不同,识别末端的特异性、应用也有所不同。

|
克隆号 |
识别末端 |
Western blot |
Immunoprecipitation |
ELISA |
产品编号 |
||
|
N末端 |
C末端 |
N末端 |
C末端 |
||||
|
9F2 |
C末端 |
ND |
+++++ |
ND |
++ |
– |
010-21861 |
|
9C11 |
N・C末端 |
+++++ |
++++ |
+++++ |
++ |
○ |
011-23091 |
|
21-48 |
N・C末端 |
+++ |
++++ |
+++ |
+++ |
○ |
017-23211 |
|
28-75 |
N・C末端 |
++ |
++ |
+++++ |
+++++ |
○ |
014-23221 |
|
9F2 |
C末端 |
ND |
+++++ |
– |
– |
– |
013-23171 |
|
9C11 |
N・C末端 |
+++++ |
++++ |
– |
– |
◎ |
010-23181 |
B公司产品和Wako产品各克隆号的Western blot检测功能比较
|
|
N末端His:HEK293T表达的6xHis-ProteinZ, 1×105 cells |
6×His tag抗体 选购指南
|
|
|
产品名称 |
子类 克隆号 |
适用实验 |
规格 |
产品编号 |
包装 |
|
单抗 |
|||||
|
抗6×组氨酸, 单抗 Anti 6×His,Monoclonal Antibody(9F2) |
小鼠IgG1 |
WB,IP |
免疫化学用 |
010-21861 |
200μg |
|
014-21864 |
1mg |
||||
|
010-21866 |
5mg |
||||
|
抗6×组氨酸, 单抗 Anti 6×His,Monoclonal Antibody(9C11) |
小鼠IgG1 |
WB,IP,ELISA |
免疫化学用 |
011-23091 |
200μg |
|
015-23094 |
1mg |
||||
|
011-23096 |
5mg |
||||
|
抗6×组氨酸, 单抗 Anti 6×His,Monoclonal Antibody(21-28) |
小鼠IgG1・κ |
WB,IP,ELISA |
免疫化学用 |
017-23211 |
200μg |
|
011-23214 |
1mg |
||||
|
抗6×组氨酸, 单抗 Anti 6×His,Monoclonal Antibody(28-75) |
小鼠IgG3・κ |
WB,IP,ELISA |
免疫化学用 |
014-23221 |
200μg |
|
018-23224 |
1mg |
||||
|
HRP标签单抗 |
|||||
|
抗6×组氨酸, 单抗, Anti 6×Histidine, Monoclonal Antibody(9F2), Peroxidase Conjugated |
小鼠IgG1 |
WB |
免疫化学用 |
013-23171 |
100μL |
|
017-23174 |
500μL |
||||
|
抗6×组氨酸, 单抗, Anti 6×Histidine, Monoclonal Antibody(9C11), Peroxidase Conjugated |
小鼠IgG1 |
WB |
免疫化学用 |
010-23181 |
100μL |
|
014-23184 |
500μL |
||||
GFP tag: Green Fluorescent Protein (GFP)
可识别Green Fluorescent Protein (GFP)抗体。GFP是可实时检测目标蛋白质局部或细胞、细胞器中的标签蛋白质,可应用于各个领域。
|
产品名称 |
子类 |
适用实验 |
规格 |
产品编号 |
包装 |
|
单抗及多抗 |
|||||
|
抗绿色荧光蛋白质, 单抗 Anti Green Fluorescent Protein, Monoclonal Antibody (Anti GFP, MoAb) |
小鼠IgG2a・κ |
IP, IHC |
免疫化学用 |
012-20461 |
100μL |
|
018-20463 |
100μL×5 |
||||
|
抗绿色荧光蛋白质, 单抗 Anti GFP,MoAb(mF×75) |
小鼠IgG2a・κ |
WB |
免疫化学用 |
012-22541 |
100μL |
|
抗绿色荧光蛋白质, 多抗 IS,兔 Anti Green Fluorescent Protein,Rabbit Polyclonal IS |
– |
WB, IHC |
免疫化学用 |
013-23811 |
20μg |
HA tag:YPYDVPDYA
血凝素(HA)来源(98-106 aa)的多肽:抗YPYDVPDYA单抗。
|
产品名称 |
子类 |
适用 实验 |
规格 |
产品编号 |
容量 |
|
单抗 |
|||||
|
抗血凝素, 单抗 Anti HA,MoAb |
小鼠IgG2b |
WB, IP |
免疫化学用 |
014-21881 |
200μg |
|
018-21884 |
1mg |
||||
|
014-21886 |
5mg |
||||
|
HRP标签单抗 |
|||||
|
抗血凝素, 单抗, Anti Hemagglutinin,Monoclonal Antibody, Peroxidase Conjugated |
小鼠IgG2b |
WB |
免疫化学用 |
011-21911 |
100μL |
|
015-21914 |
500μL |
||||
参考数据
|
抗绿色荧光蛋白质, 单抗(012-22541) |
|
MBP tag:Maltose Binding Protein
可识别Maltose-binding Protein (MBP)单抗。MBP是对麦芽糖、麦芽糊精具有结合性的蛋白质,具有通过与目的蛋白融合,提高表达蛋白质可溶性的特点,可简便纯化、检测重组蛋白质。
|
产品名称 |
子类 |
适用实验 |
规格 |
产品编号 |
包装 |
|
单抗 |
|||||
|
抗麦芽糖结合蛋白, 单抗 Anti MBP, Monoclonal Antibody, Rat |
大鼠IgG2b |
ELISA, WB |
免疫化学用 |
016-24141 |
200μg |
c-Myc标签:EQKLISEEDL
可识别人c-Myc 来源(410-419aa)多肽EQKLISEEDL单抗。
|
产品名称 |
子类 |
适用实验 |
规格 |
产品编号 |
包装 |
|
单抗 |
|||||
|
抗c-Myc, 单抗 ANTI c-Myc, Monoclonal Antibody |
小鼠IgG1 |
WB, IP |
免疫化学用 |
017-21871 |
200μg |
|
011-21874 |
1mg |
||||
|
017-21876 |
5mg |
||||
|
抗c-Myc, 单抗 Anti c-Myc, Monoclonal Antibody (10D11) |
小鼠IgG1 |
WB, IP |
免疫化学用 |
017-26511 |
20μg |
|
013-26513 |
200μg |
||||
|
011-26514 |
1mg |
||||
|
HRP标签单抗 |
|||||
|
抗c-Myc, 单抗, Anti c-Myc,MoAb, Peroxidase Conjugated |
小鼠IgG1 |
WB |
免疫化学用 |
014-21901 |
100μL |
|
018-21904 |
500μL |
||||
|
抗c-Myc, 单抗, Anti c-Myc, Monoclonal Antibody, Peroxidase Conjugated (10D11) |
小鼠IgG1 |
WB |
免疫化学用 |
014-26521 |
10μL |
|
010-26523 |
100μL |
||||
|
018-26524 |
500μL |
||||
GST标签:Glutathione-S-transferase
可识别Glutathione S-transferase(GST)单抗。
|
产品名称 |
子类 |
适用实验 |
规格 |
产品编号 |
包装 |
|
单抗 |
|||||
|
抗谷胱甘肽 S-转移酶, Anti Glutathione S-transferase,Monoclonal Antibody |
小鼠IgG2b |
WB, IP |
免疫化学用 |
013-21851 |
200μg |
|
017-21854 |
1mg |
||||
|
013-21856 |
5mg |
||||
|
HRP标签单抗 |
|||||
|
抗谷胱甘肽 S-转移酶, Anti Glutathione S-transferse,Monoclonal Antibody, HRP Conjugated |
小鼠IgG2b |
WB |
免疫化学用 |
011-21891 |
100μL |
|
015-21894 |
500μL |
||||
参考数据
|
抗c-Myc, 单抗(017-21871) |
|
V5 tag:GKPIPNPLLGLDST
可识别多肽GKPIPNPLLGLDST单抗。
|
产品名称 |
子类 |
适用实验 |
规格 |
产品编号 |
包装 |
|
单抗 |
|||||
|
抗V5 tag, 单抗 Anti V5 tag, Monoclonal Antibody(6F5) |
小鼠IgG2a |
WB, IP |
免疫化学用 |
011-23591 |
200μg |
|
015-23594 |
1mg |
||||
|
011-23596 |
5mg |
||||
|
HRP标签单抗 |
|||||
|
抗V5tag, 单抗, Anti V5 tag, Monoclonal Antibody(6F5), Peroxidase Conjugated |
小鼠IgG2a |
WB |
免疫化学用 |
019-24371 |
100μL |
◆亲和标签抗体结合磁珠
抗DYKDDDDK tag抗体磁珠
已固定识别DYKDDDDK肽单抗的磁珠悬浮液。可用于检测大肠杆菌、酵母、哺乳动物表达的DYKDDDDK标签融合蛋白质。
特点
● 非特异性结合少
● 可回收N末端、C末端、Internal全部蛋白质
● 可用DYKDDDDK肽、SDS溶液洗脱
● 无需离心处理,可减少样品损耗,简单替换溶液
1. 抗DYKDDDDK标签抗体磁珠的反应性
|
|
把各DYKDDDDK tag融合蛋白分别加入细胞溶解液中进行免疫沉淀后,通过Western blotting比较抗原回收量。 经4%SDS样品缓冲液洗脱和SDS-PAGE后,用Western blotting法,加过氧化酶标签抗体(产品编号:015-22391)进行发光检测。 |
2. 洗脱法比较抗原回收性能
|
|
将DYKDDDDK标签融合蛋白质加入细胞溶解液中,分别加入磁珠吸附后,利用各种洗脱法回收抗原量并用Western Blotting法进行比较。 用过氧化酶标签抗体(产品编号:015-22391)进行发光检测。 |
3. 非特异性吸附蛋白的比较
|
|
在不含DYKDDDDK tag的细胞溶解液中分别添加磁珠并进行免疫沉淀后,比较非特异性吸附蛋白质。 用4%SDS样品缓冲液洗脱、电泳后,用银染色、抗小鼠IgG、过氧化酶标签抗体进行Western Blotting比较。 无法检测出非特异性吸附质。 |
|
产品名称 |
子类 |
规格 |
产品编号 |
包装 |
|
DYK标签:DYKDDDK |
||||
|
抗DYKDDDDKtag抗体磁珠 Anti DYKDDDDK tag Magnetic Beads |
小鼠 IgG2b |
免疫化学用 |
011-25154 |
200μL |
|
017-25151 |
2.5mL |
|||
|
013-25153 |
2.5mL×5 |
|||
|
溶液组成:10mg/mL Anti-DYKDDDDK Magnetic Beads, 1×TBS(pH7.4), 50 w/v % glycerol, 0.05 w/v % sodium azide |
||||
◆亲和性标签抗体结合琼脂糖珠
|
|
<使用载体量> <SDS-PAGE> |
|
产品名称 |
子类 |
规格 |
产品编号 |
包装 |
|
DYK标签:DYKDDDK |
||||
|
抗DYKDDDDK标签抗体珠 Anti DYKDDDDK tag Antibody Beads |
小鼠IgG2b |
免疫化学用 |
012-22781 |
2mL(Net 1mL) |
|
018-22783 |
10mL(Net 5mL) |
|||
|
016-22784 |
50mL(Net 25mL) |
|||
|
识别N末端、C末端、Internal的DYKDDDDK标签 |
||||
|
His标签:HHHHHH(6×Histidine) |
||||
|
抗6×组氨酸抗体珠 Anti 6×Histidine Antibody Beads |
小鼠IgG3・κ |
免疫化学用 |
019-23391 |
2mL(Net 1mL) |
|
015-23393 |
10mL(Net 5mL) |
|||
|
可识别N末端、C末端的6×His tag |
||||
|
HA tag:YPYDVPDYA |
||||
|
抗HA抗体珠 Anti HA Antibody Beads |
小鼠IgG1 |
免疫化学用 |
014-23081 |
2mL(Net 1mL) |
|
010-23083 |
10mL(Net 5mL) |
|||
|
使用载体 :4% 琼脂糖 |
||||
|
c-My标签:EQKLISEEDL |
||||
|
抗c-Myc抗体珠 Anti c-Myc Antibody Beads (10D11) |
小鼠IgG1 |
免疫化学用 |
010-26501 |
200μL(Net 100μL) |
|
016-26503 |
2mL(Net 1mL) |
|||
|
014-26504 |
10mL(Net 5mL) |
|||
|
使用担体 :4% 琼脂糖 |
||||
|
V5 tag:GKPIPNPLLGLDST |
||||
|
抗V5 tag抗体珠 Anti V5 tag Antibody Beads |
小鼠IgG1 |
免疫化学用 |
016-24381 |
2mL(Net 1mL) |
|
012-24383 |
10mL(Net 5mL) |
|||
|
使用载体 :4% 琼脂糖 |
||||
◆亲和性标签肽
本产品是可用于竞争洗脱各种标签抗体珠回收到的重组蛋白质的肽。
|
产品名称 |
备注 |
规格 |
产品编号 |
包装 |
|
DYKDDDDK标签肽 |
||||
|
DYKDDDDK肽 DYKDDDDK Peptide |
含量(HPLC)95%以上 |
基因研究用 |
044-30951 |
5mg |
|
040-30953 |
25mg |
|||
|
His标签:HHHHHH(6×Histidine) |
||||
|
6×组氨酸肽 6×Histidine Peptide |
含量(HPLC)95%以上 |
基因研究用 |
087-09251 |
5mg |
|
083-09253 |
25mg |
|||
|
HA标签:YPYDVPDYA |
||||
|
HA 肽 HA Peptide |
含量(HPLC)95%以上 |
基因研究用 |
088-09161 |
5mg |
|
084-09163 |
25mg |
|||
|
c-Myc标签:EQKLISEEDL |
||||
|
c-Myc肽 c-Myc Peptide |
含量(HPLC)95%以上 |
基因研究用 |
132-16361 |
5mg |
|
138-16363 |
25mg |
|||
◆对照融合蛋白质系列
Multitope蛋白质
本品是由4种标签肽、3种标签蛋白质连接成的重组蛋白质。
因其为变性状态,可直接用于SDS-PAGE,在Western Blotting中可用作阳性对照。

通过各种一抗检测Multitope(Western Blotting检测法)
|
|
Lane 1: MultiTope, 变性20ng |
|
产品名称 |
备注 |
规格 |
产品编号 |
包装 |
|
Multitope蛋白质 |
||||
|
Multitope (变性), 重组体, 溶液 Multitope, Denatured, recombinant, Solution |
浓度:10ng/μL |
免疫化学用 |
139-16371 |
500μL |
|
133-16374 |
2.5mL |
|||
|
组成 :50mmol/L Tris-HCl, pH6.8, 2w/v% SDS, 10v/v% glycerol, 0.1w/v% bromophenol blue, 1.5w/v% DTT. |
||||
◆DYKDDDDK-BAP, 重组体, 溶液
本产品是可融合DYKDDDDK标签各个部位的Bacterial Alkaline Phosphatase(BAP)。
|
1.可用于识别抗DYKDDDDK标签抗体交叉性的 对照蛋白质。 2.可用于Western Blotting和免疫沉淀实验。 |
|
|
产品名称 |
备注 |
产品编号 |
包装 |
|
DYKDDDDK-BAP, 重组体, 溶液 |
|||
|
N末端 DYKDDDDK-BAP,重组体, 溶液 Amino-terminal DYKDDDDK-BAP, recombinant, Solution |
基因研究用 |
016-24401 |
200μg |
|
N末端 Met-DYKDDDDK-BAP, 重组体, 溶液 Amino-terminal Met-DYKDDDDK-BAP, recombinant, Solution |
013-24411 |
200μg |
|
|
C末端 DYKDDDDK-BAP, 重组体, 溶液 Carboxy-terminal DYKDDDDK-BAP, recombinant, Solution |
036-22781 |
200μg |
|
|
来源:大肠杆菌表达DYKDDDDK-BAP 约48.8 kDa (N末端 DYKDDDDK-BAP) |
|||
亲和标签比较表
|
亲和标签 |
TARGET |
PA |
6xHis |
|
氨基酸序列 |
(YPGQ)5V |
GVAMPGAEDDVV |
HHHHHH |
|
残基 |
21 |
12 |
6 |
|
分子量 (kDa) |
2.34 |
1.16 |
0.84 |
|
等电点(pI) |
5.52 |
3.49 |
7.21 |
|
配体 |
TARGET tag |
PA tag |
Ni, Co, Zn, Cu |
|
亲和珠回收 |
40% Propyleneglycol, |
3M MgCl2, MES(pH6.0) |
0.5M Imididazole(pH7.4) |
|
单抗边界强度 (KD(M)) |
1.0×10-8 |
4.9×10-10 |
Ni-NTA: |
|
单抗 Clone No. |
P20.1(Mouse) |
NZ-1(Rat) |
Merck:HIS. H8(Mouse) |
|
亲和力 |
++++ |
+++++ |
+++ |
|
提纯成本 |
+ |
+ |
+ |
|
多肽洗脱 |
+++ |
+++ |
Imidazole |
|
背景 (培养上清) |
+ |
+ |
+++++ |
|
背景 (细胞裂解物) |
+ |
+ |
++++ |
|
亲和标签 |
DYKDDDDK |
c-Myc |
HA |
GST |
|
氨基酸序列 |
DYKDDDDK |
EQKLISEEDL |
YPYDVPDYA |
– |
|
残基 |
8 |
10 |
9 |
218 |
|
分子量 (kDa) |
1.01 |
1.20 |
1.10 |
26 |
|
等电点(pI) |
3.97 |
4.00 |
3.56 |
– |
|
配体 |
DYKDDDDK tag |
c-Myc tag |
HA tag |
GST |
|
亲和珠回收 |
Tris-HCl, |
Tris-HCl, |
Tris-HCl, |
Glutathione, |
|
单抗边界强度 (KD(M)) |
2.8×10-8 |
2.2×10-9 |
2.8×10-9 |
Glutathione: |
|
单抗 Clone No. |
M2(Mouse) |
9E10(Mouse) |
3F10(Mouse) |
Wako:5A7(Mouse) |
|
亲和力 |
++++ |
++++ |
++++ |
++++ |
|
提纯成本 |
++ |
++ |
++ |
+ |
|
多肽洗脱 |
+++ |
++ |
++ |
Glutathione |
|
背景 (培养上清) |
++++ |
+++ |
+++ |
++++ |
|
背景 (细胞裂解物) |
++++ |
++++ |
+++ |
++++ |
本比较表为Wako独家调查的数据。样品、检测方法和手法的不同,特异性也会有所变化,因此无法保证各个亲和标签的功能。
◆相关产品
内参照
下表为Western Blot实验中参照用单抗一览表。
|
产品名称 |
规格 |
产品编号 |
包装 |
|
抗β肌动蛋白单抗 |
免疫化学用 |
013-24553 |
200μg |
|
011-24554 |
1mg |
||
|
017-24556 |
5mg |
||
|
抗β肌动蛋白单抗,过氧化物酶标记 Anti β-Actin, Monoclonal Antibody, Peroxidase Conjugated |
免疫化学用 |
017-24573 |
200μL |
|
抗α-微管蛋白, 单抗 Anti α-Tubulin, Monoclonal Antibody |
免疫化学用 |
011-25034 |
10μg |
|
017-25031 |
200μg |
||
|
013-25033 |
1mg |
||
|
Anti β-Tubulin, Monoclonal Antibody |
免疫化学用 |
018-25044 |
10μg |
|
014-25041 |
200μg |
||
|
010-25043 |
1mg |
||
|
Anti GAPDH, Monoclonal Antibody |
免疫化学用 |
016-25523 |
200μg |
|
014-25524 |
1mg |
||
|
010-25526 |
5mg |
||
|
Anti GAPDH, Monoclonal Antibody, Peroxidase Conjugated |
免疫化学用 |
015-25473 |
200μL |
蛋白酶抑制剂系列
|
产品名称 |
规格 |
产品编号 |
包装 |
|
蛋白酶抑制剂混合物试剂盒 I,无动物源成分(通用型) Protease Inhibitor Cocktail Set I, Animal-derived-free (for general use) (x 100), Lyophilized |
通用型 |
165-26021 |
1mL用 |
|
161-26023 |
1mL用×5 |
||
|
蛋白酶抑制剂混合物试剂盒III, DMSO溶液(不含EDTA)(×100) |
动物细胞 |
163-26061 |
1mL |
|
169-26063 |
1mL×5 |
||
|
蛋白酶抑制剂混合物试剂盒V (无EDTA)(×100) |
2D电泳 |
162-26031 |
1mL |
|
168-26033 |
1mL×5 |
||
|
蛋白酶抑制剂混合物试剂盒 VI,DMSO溶液,用于植物(×100) |
植物细胞 |
164-26091 |
1mL |
|
160-26093 |
1mL×5 |
||
|
蛋白酶抑制剂混合物试剂盒VII,DMSO溶液,组氨酸标签蛋白(×100) |
His Tag 纯化※ |
167-26101 |
1mL |
|
163-26103 |
1mL×5 |
















