Tamavidin® 2-REV Magnetic Beads
亲和蛋白磁珠最终版
- 产品特性
- 相关资料
- Q&A
- 参考文献
亲和蛋白磁珠最终版
Tamavidin®2-REV Magnetic Beads

<Tamavidin®2-REV ~和生物素可逆性结合>
Tamavidin®2-REV是新亲和蛋白[Tamavidin®2]的变体。由于生物素的结合力降低,可形成可逆的生物素结合复合物。因此,通过添加过量生物素,可以竞争性洗脱生物素分子。
(之前的亲和蛋白/链亲和素与生物素的结合力非常牢固且不可逆。)
◆MagCapture™ Tamavidin®2-REV 概要

MagCapture™ Tamavidin®2-REV试剂组成:磁珠悬浮液,TBS缓冲液(pH7.4),0.05w/v%叠氮化钠,50w/v%甘油。
◆MagCapture™ Tamavidin®2-REV使用案例
生物素化DYKDDDDK-BAP回收性能验证。

竞争洗脱的生物素溶液组成:2mmol/L 生物素,PBS溶液。
|
添加生物素化DYKDDDDK-BAP 10ng至细胞裂解液(相当于1*106细胞数)与原产品Streptavidin磁珠比较添加回收性能。 MagCapture™ Tamavidin®2-REV与原产品比较,低背景,能够回收到目生物素化DYKDDDDK-BAP。 |
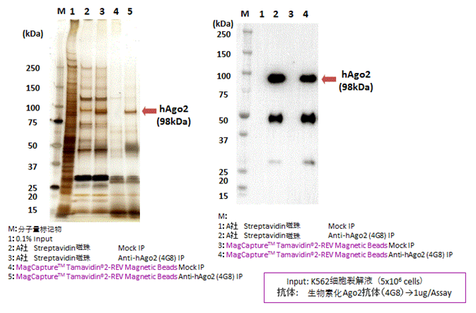
生物素抗体免疫沉降

采用生物素化Anti-hAgo2 Mab,从K562细胞回收内源性人Ago2蛋白质。
与原产品Streptavidin磁珠相比,MagCapture™ Tamavidin®2-REV是因其低背景,能够回收到内源性人Ago2蛋白质。
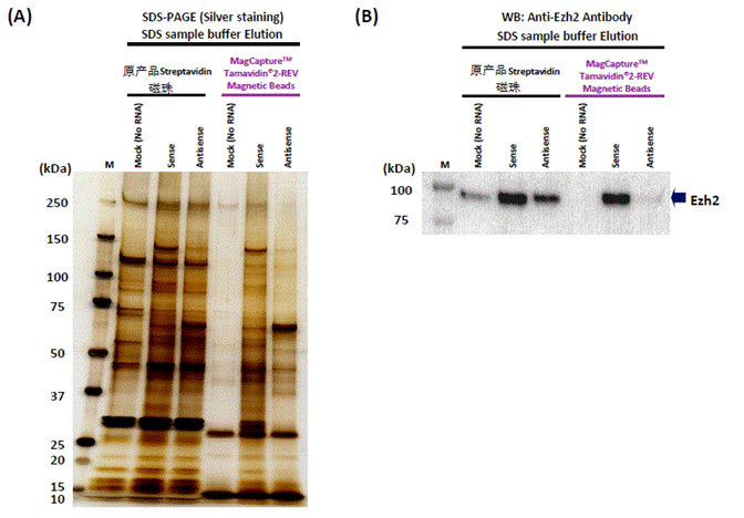
◆RNA Pull-down检测
应用(HOTAIR RNA)
通过RNA Pull-down检测比较原产品链霉亲和素磁珠和MagCapture™ Tamavidin®2-REV的性能。
RNA Pull-dow检测后的生物素可竞争性洗脱。(数据未公布)。

|
A |
用生物素标记HOTAIR RNA的有义链和反义链进行RNAPull-down检测,通过SDS样品缓冲液洗脱,纯化的蛋白质样本通过银染色可检测出来。各RNA探针的反应样本均采用的是K562(5×106细胞数)的总细胞裂解物。 |
|
B |
利用RNAPull-down实验获得的样本进行免疫印迹实验。一抗是抗Ezh2抗体(D2C9)以及LSD1抗体(C69G12)。 MagCapture™ Tamavidin®2-REV与原产品相比,可高效率且低背景回收RNA结合蛋白。 |
Tamavidin®2 系列 产品概要
Magnetic Beads
本产品是将新规格抗生物素蛋白样蛋白的Tamavidin®2-REV固相化在磁珠上。
Tamavidin®2-REV是新规格的抗生物素蛋白样蛋白。因通过氨基酸修饰具有可逆的生物素结合性能,在结合生物素分子后,通过添加过量的生物素在温和洗脱条件下可回收靶分子。
Tamavidin®2重组体
|
产品名称 |
等电点(pl)※1 |
耐热性※2 |
有机溶剂耐性 |
生物素结合速度系数(ka(M-1S-1)) |
生物素解离速度系数(kd(S-1)) |
分子量(四聚物) |
|
Tamavidin®2 |
7.4 |
Tm=85℃ |
+ |
(1.0±0.5)×106 |
检测极限值以下※4 |
約60kDa |
|
Tamavidin®2-REV |
8 |
Tm=75℃ |
– |
(1.3±0.5)×106 |
(1.5±0.4)×10-5 |
約60kDa |
|
Tamavidin®2-LPI |
6 |
Tm=65℃ |
– |
(1.2±0.5)×106 |
检测极限值以下 |
約60kDa |
|
Tamavidin® 2-HOT |
7.23 |
高耐熱性 |
高耐性※3 |
(3.0±1.7)×105 |
检测极限值以下 |
約60kDa |
|
※1 |
等电点:仅为Tamavidin®2-LPI的实测值。其他产品是通过氨基酸序列计算出来的数值。 |
|
※2 |
耐热性(TM值):生物素结合活性加热20分钟可达到加热前的50%。关于Tamavidin®2-HOT,因为在99.9℃加热30分钟结合活性保持在90%以上,所以算不出数值。 |
|
※3 |
高耐性:40-50%DMSO中 |
|
※4 |
检测极限值:5×10-6(kd(S-1)) |
欲了解相关资料请点击:Tamavidin®2-REV Magnetic Beads技术研讨会
【参考文献】
<Tamavidin®2>
[1] Takakura, Y. et al., "Tamavidins – novel avidin-like biotin-binding proteins from the Tamogitake mushroom.", FEBS Journal, 276, 1383(2009).
[2] Takakura, Y. et al., "Tamavidin, a versatile affinity tag for protein purification and immobilization.",J. Biotechnol., 145, 317(2010).
<Tamavidin®2-REV>
[3] Takakura, Y. et al., "Tamavidin2-REV: An engineered tamavidin with reversible biotin-binding capability.", J. Biotechnol., 164(1), 19(2013).
<Tamavidin®2-LPI>
[4] Takakura, Y.et al., "Engineering of novel tamavidin 2 muteins with lowered isoelectric points and lowered non-specific binding properties.", J. Biosci. Bioeng.,114(5), 485(2012).
<Tamavidin®2-HOT>
[5] Takakura, Y. et al., "Tamavidin-HOT, a highly thermostable biotin-binding protein.", J. Biotechnol., 169, 1(2014).
[6] Ukekawa, R. et al., "A useful new tool for isolation of long non-coding RNA-binding proteins.",Medical Science Digest, 40(7), 355(2014).
[7] Takakura, Y. et al.: "Tamavidin2-REV : an engineered tamavidin with reversible biotin-binding capability.", J. Biotechnol., 164(1), 19-25(2013).
| 产品编号 | 产品名称 | 产品规格 | 产品等级 | 产品价格 |
| 209-18261 | Tamavidin®2, recombinant Tamavidin®2, 重组型 |
1mg | 免疫化学用 | - |
| 205-18263 | Tamavidin®2, recombinant Tamavidin®2, 重组型 |
5mg | 免疫化学用 | - |
| 203-18264 | Tamavidin®2, recombinant Tamavidin®2, 重组型 |
25mg | 免疫化学用 | - |
| 203-19401 | Tamavidin®2-REV, recombinant Tamavidin®2-可逆性,重组型 |
1mg | 免疫化学用 | - |
| 209-19403 | Tamavidin®2-REV, recombinant Tamavidin®2-可逆性,重组型 |
5mg | 免疫化学用 | - |
| 202-19351 | Tamavidin®2-LPI, recombinant Tamavidin®2-小分子量非特异结合,重组型 |
1mg | 免疫化学用 | - |
| 208-19353 | Tamavidin®2-LPI, recombinantTamavidin®2-小分子量非特异结合,重组型 | 5mg | 免疫化学用 | - |
| 209-19361 | Tamavidin®2-HOT, recombinant Tamavidin®2-耐热性,重组型 |
1mg | 免疫化学用 | - |
| 205-19363 | Tamavidin®2-HOT, recombinantTamavidin®2-耐热性,重组型 | 5mg | 免疫化学用 | - |
| 136-18341 | MagCapture™ Tamavidin®2-REV 新型抗亲和蛋白•磁珠纯化试剂 |
20mL | 基因研究用 | - |