ISOIL for RNA
从土壤提取RNA试剂盒
- 产品特性
- 相关资料
- Q&A
- 参考文献
从土壤提取RNA试剂盒
ISOIL for RNA

ISOIL for RNA适用于从土壤样品提取RNA。可利用磁珠对细胞壁较厚的微生物进行强力的破坏,并利用试剂进行溶菌裂解,从而提取其RNA。RNA提取液添加氟化物,可从非火山灰土壤及火山灰土壤提取RNA。进行纯化时,采取有效去除阻碍酶反应的腐殖质等杂质,可简单地纯化出高纯度RNA。提取到的土壤RNA可用于RT PCR-DGGE分析及RT real-time PCR。
本产品是从日本土壤提取RNA的最适合产品,仅需约4小时即可提取大量的高纯度RNA。
使用时,需配合磁珠式破碎装置(适用2ml试管)使用。
◆特点
• 适用于火山灰土壌(火山灰土等)
• 有效提取高纯度RNA
• 操作用时仅需约4小时
◆产品内容
ISOIL for RNA (50次用量)
|
产品 |
包装 |
保存 |
备注 |
|
Beads Tube R (ISOIL for RNA) |
50 瓶 |
室温 |
2 ml 容量的试管中含有磁珠。 |
|
Sodium Silicofluoride Solution |
10 ml x 1 |
室温 |
非医疗用剧毒物 |
|
Lysis Solution R |
1.25 ml x 3 |
室温 |
|
|
Lysis Solution 20S |
25 ml x 1 |
室温 |
Lysis Solution 20S有可能析出白色结晶,不影响其品质及性能。如发生此情况,请65°C条件下,对整个容器进行孵化(适当混合),待结晶完全溶解后使用。 |
|
Purification Solution R |
25 ml x 1 |
室温 |
Purification Solution R有可能析出白色结晶不影响其品质及性能。如发生此情况,请65°C条件下,对整个容器进行孵化(适当混合),待结晶完全溶解后使用。 |
|
Precipitation Solution R |
35 ml x 1 |
室温(冷藏) |
开封后需冷藏(2~10°C)。Precipitation Solution R较容易发霉,如发现溶液中有浮游物,请停止使用,并购买新的试剂盒。 |
|
Ethachinmate |
100 μl x 1 |
室温(冷藏) |
开封后需冷藏(2~10°C)。 |
|
3M Sodium Acetate(pH5.2) |
500 μl x 1 |
室温 |
|
|
TE(pH8.0) |
10 ml x 1 |
室温 |
|
|
Deoxyribonuclease(RT Grade) |
250 units x 1 |
-20°C |
|
|
10X DNase(RT Grade)Buffer |
1 ml x 1 |
-20°C |
|
|
2 mg/ml BSA Solution |
1 ml x 1 |
-20°C |
◆使用例子
操作流程

▶ *1)~*17) 注释请参照产品手册。
操作实例 从英石火山灰土壤提取RNA(电泳结果及RT-PCR)
从8种土壤样品提取RNA。 分别使用ISOIL for RNA从0.5g、0.25g的含有英石的火山灰土壤中提取RNA ,配制成溶液(10μl)后,4.7μl用于电泳取样后,0.5g的土壤样品为冷藏(4℃)一周,0.25g的土壤样品为冷藏(4℃)三周。

从0.5 g的样品提取RNA溶液
▶ 一般情况下,可以从土壤中提取RNA,但有些土壤种类难以提取。

从0.25 g的样品提取RNA溶液
▶ 对于难以从0.5g样品提取RNA的土壤,减少样品品量,即可回收更多的RNA。
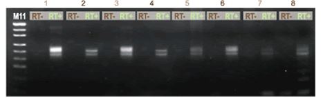
将实验中的0.5g土壤样品RNA溶液作为模板,使用RT-PCR扩增16S rRNA(约 200 base)将获得的PCR产物进行电泳。

RNA 溶液的RT-PCR
Lane 1 东大弥生农场对照区土壌 (英石火山灰土壤、火山灰土壌)
Lane 2 东大牧场 牧草地 (英石火山灰土壤、火山灰土壌)
Lane 3 筑波 农业环境技术研究所 (英石火山灰土壤、火山灰土壌)
Lane 4 东大田无牧草地 (英石火山灰土壤、火山灰土壌)
Lane 5 草地试验场常年採草地土壌 (灰色低地土、含有一部分火山灰土壌)
Lane 6 千叶农试森林土壌 (英石火山灰土壤、火山灰土壌)
Lane 7 兵库农试森林土壌 (褐色森林土、非火山灰土壌)
Lane 8 富山县 射水市 片口田土壌 (非火山灰土壌)
M RNA Ladder
M11 Marker 11(pUC19/Msp I digest)
▶ 即使是难以从0.5g样品提取RNA的土壤,也可从RNA 溶液获得RT-PCR产物。
◆备注
• 本产品是实验研究试剂。请勿用于医疗及其他用途。
• 如果您对试剂的基本的知识不了解,请不要使用。
• Sodium Silicofluoride Solution(氟硅酸钠溶液)为非医疗用剧毒物(苯酚制剂),请小心操作
• 使用时请穿着适当的防护设备(手套、眼镜等)。
• 请按照说明书进行操作。
• 对于因不按照说明书操作而导致的事故,Nippon Gene不负任何责任。
License
Nippon Gene 公司正向独立行政法人科学技术振兴机构(JST)申请ISOIL for RNA土壌RNA提取法的专利。土壌RNA的提取法及纯化法已获得JST的认可。
◆资料 Data Sheet
产品手册
· ISOIL for RNA 第一版 (PDF 192 KB)
SDS(Safety Data Sheet)
· ISOIL for RNA (PDF)
◆相关产品
· 土壌提取DNA试剂盒 ISOIL
· 土壌提取DNA试剂盒 ISOIL for Beads Beating
· 土壌(5g)提取DNA试剂盒 ISOIL Large for Beads ver.2
Q: 按照操作流程进行了DNase 处理,RNA 溶液里有DNA残留。
A: 某些土壤样品难以去除杂质(尤其是英石火山灰土壤),阻碍DNase处理等酶反应。建议使用RNA 提取・纯化试剂盒 ISOGEN II。
| 产品编号 | 产品名称 | 产品规格 | 产品等级 | 产品价格 |
| 312-07411 | ISOIL for RNA | 50次用量 | – | – |